YUFU ITONAGA CO., LTD.
web site menu
クラニアルループ_01-slide
クラニアルループ_02-slide
クラニアルループ_03-slide
クラニアルループ_04-slide

クラニアルループ

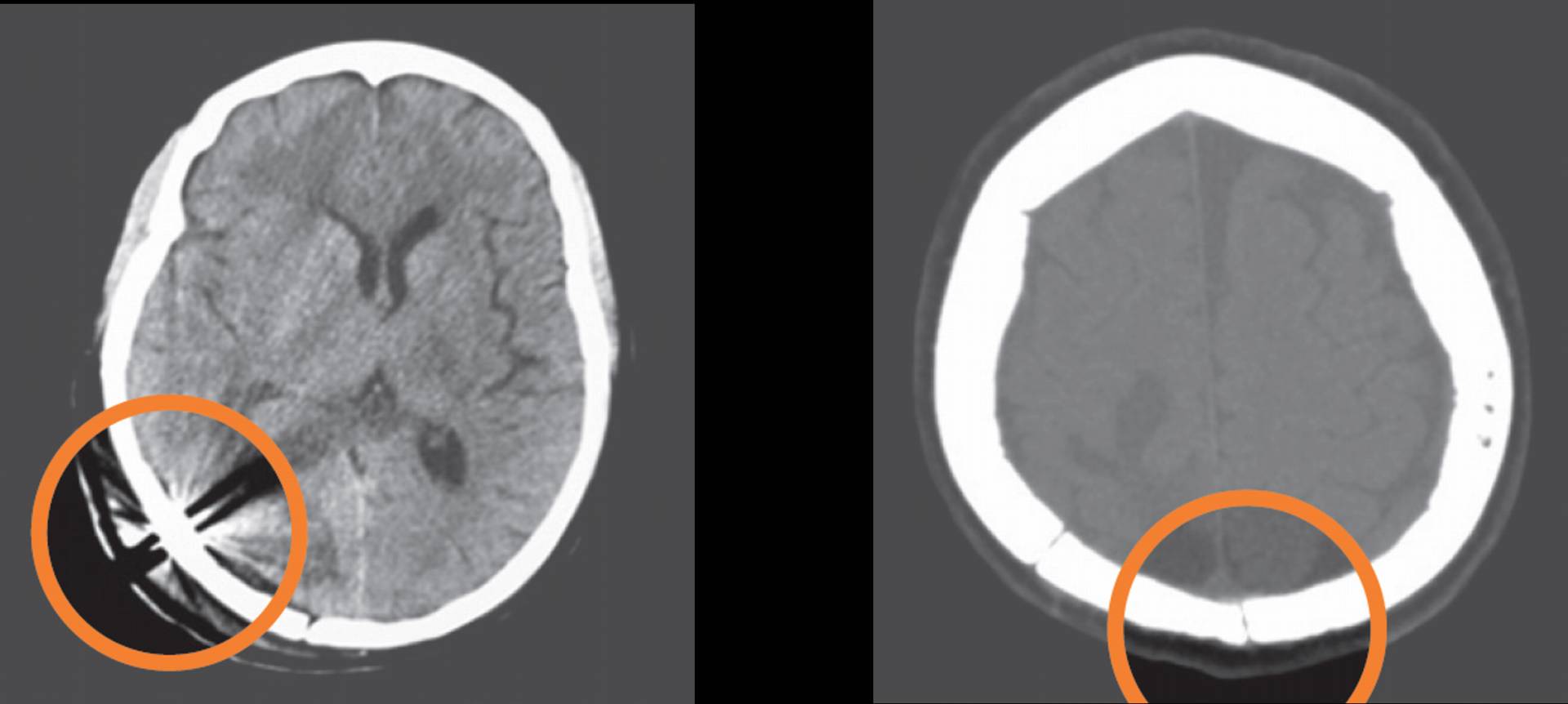
クラニアルループは脳神経外科の開頭術で使用するPEEK素材の閉頭用クランプ。
工具不要で素早く骨片の固定を行え、抜去の際も簡単に外せます。

製品説明

クラニアルループは100%PEEK素材の閉頭用クランプ。

アーチファクトを引かないので画像診断に優れる
PEEK製のためCT、MRI撮影時のアーチファクトがない
手で締め上げてハサミで切るだけ、工具不要で素早く骨片の固定を行えます

◆使用方法
https://www.youtube.com/watch?v=uG5nDDmRZHo

 

簡単に抜去が行える
悪性腫瘍等で再手術が必要な場合も、鉗子やドリルで簡単に抜去できます
滅菌済みインプラントなので定数管理や中材業務の簡略化

商品コード

FC050000、 FC050100、 FC050200

Product
製品情報

フリーワード検索
  • 診療科目から探す
  • 製品カテゴリから探す